1例62歲男性患者因進行性呼吸困難、干咳和低熱3天就診。他于2年前曾因充血性心力衰竭住院。血壓(Bp)95/55 mmHg,心率110次/分,體溫37.9℃,呼吸周圍空氣時的血氧飽和度 (Sa02)為 86%。聽診雙側肺部有干、濕性羅音。胸部X線片顯示雙肺有提示肺水腫的浸潤陰影,心影增大。為確定該患者急性肺水腫的病因,制訂相應的治療方法,應怎樣對其進行評估呢?
臨床問題
人類可發生下列兩類性質根本不同的肺水腫:心源性肺水腫(亦稱流體靜力學或血流動力學肺水腫)和非心源性肺水腫(亦稱通透性增高肺水腫、急性肺損傷或急性呼吸窘迫綜合征)。盡管二者病因明顯不同,但由于其臨床表現相似,心源性和非心源性肺水腫的鑒別有一定困難。
明確急性肺水腫的病因對其治療有重要意義。雖然心源性肺水腫的基礎病因可能需其他治療(包括冠狀動脈血運重建),但該類肺水腫患者通常接受利尿藥和降低后負荷治療’。非心源性肺水腫病人如需機械通氣,應采用低潮氣量(6 ml/kg預計體重)和低氣道壓(<30cm水柱)通氣。這種肺保護性通氣策略可降低急性肺損傷病人的死亡率。此外,對于嚴重膿毒癥病人,應考慮使用重組活化蛋白C和小劑量氫化可的松。應采用無創方法迅速確定急性肺水腫的病因,當診斷不確定時,輔助使用肺動脈插管,有助于及時采取合理的治療措施。
要正確診斷急性肺水腫,需要對肺內微血管的液體交換有所了解(圖1)。在正常肺臟(圖1A),液體和蛋白質主要通過毛細血管內皮細胞之間的小間隙漏出。從血循環濾人肺泡間隙的液體和溶質通常并不進入肺泡,因為肺泡上皮細胞之間的連接非常緊密。更確切地說,濾出的液體一旦進入肺泡間隙,即問近端移動進入支氣管血管周圍的間隙。在正常情況下,大多數濾人間質的液體可通過淋巴回流再進入體循環。分子較大的血漿蛋白移動受限。肺微循環中液體濾過的流體靜力壓,與肺毛細血管內的流體靜力壓大致相等(圖 1A),部分肺毛細血管內的流體靜力壓被蛋白滲透壓梯度所抵消。

(圖1肺內微血管液體交換生理學
在正常肺(A幅),液體不斷從血管內流入間質腔,液體流出量取決于血管內的流體靜力壓與蛋白質滲透壓差以及毛細血管膜的通透性。下列Starling方程式說明液體濾過半透膜時,決定血管腔內液體流出量的各因素:Q=K[(PmV- Ppmv)-(
mv-
pmv)],Q=最終從血管內流出的液體量,K=膜的通透性,Pmv:微血管內的流體靜力壓,Ppmv二微血管周圍間質內的流體靜力壓,
mv二循環內的血漿蛋白滲透壓,
pmv:微血管周圍間質內的蛋白滲透壓。當微循環內的流體靜力壓升高時,液體經血管壁濾出的速度加快(B幅)。當肺間質壓超過胸膜壓,液體經臟層胸膜進入胸膜腔,產生胸腔積液。由于毛細血管內皮的通透性仍保持正常,從血循環濾出的水腫液蛋白含量不高。肺泡腔內水腫液的清除速度取決于通過肺泡上皮屏障的鈉和氯化物的主動轉運。鈉和氯化物重吸收的主要部位是上皮離子通道,該通道位于 I型和II型肺泡上皮細胞和遠端氣道上皮細胞的頂膜。依靠位于II型肺泡上皮細胞基側膜的Na/K-ATP酶,鈉被主動排入肺泡間隙。水被動流動,可能通過水通道蛋白(aquaporins),此蛋白是水通道,已發現主要位于I型肺泡上皮細胞。直接或間接肺損傷(包括急性呼吸窘迫綜合征)引起微血管膜通透性增加時,發生非心源性肺水腫(C幅),導致從血管腔移出的液體和蛋白量顯著增加。非心源性肺水腫的水腫液蛋白含量較高,是因為微血管膜的通透性增加,限制較大分子(例如血漿蛋白)外流的能力降低。肺泡充溢程度取決于間質水腫的程度、肺泡上皮有無損傷以及肺泡上皮主動清除肺泡內水腫液的能力。急性肺損傷造成的肺水腫,肺泡上皮受損通常導致對肺泡水腫液的清除能力降低,肺水腫消散較慢。)
肺毛細血管內的流體靜力壓迅速升高,導致跨血管液體濾出增加,這是急性心源性或容量—負荷增加性水腫(圖1B)的標志。導致肺毛細血管流體靜力壓升高的原因通常是肺靜脈壓升高,后者往往又是左室舒張末壓和左房壓升高的結果。左房壓輕度升高<18-25mmHg)導致微血管周圍和支氣管血管周圍的質間水腫’。左房壓進一步升高(>25 mmHg),蛋白質含量少的水腫液突破肺泡上皮,涌人肺泡腔(圖1B)。
相比之下,非心源性肺水腫是肺血管通透性增高所致,導致進入肺間質和氣腔的液體和蛋白量增加(圖1C)。非心源性肺水腫的水腫液蛋白質含量較高,這是因為血管膜通透性增高導致血漿蛋白質濾出增多。肺水腫液的凈潴留量取決于液體濾入率’與移出氣腔和肺間質速率的平衡。策略和證據
評估
病史和體檢
急性心源性與非心源性肺水腫的臨床表現相似。肺間質水腫導致呼吸困難和呼吸急促。肺泡腔充滿液體導致動脈低血氧,還可能與咳嗽和咳泡沫樣痰相關。詢問病史的重點是確定導致肺水腫的基礎病。心源性肺水腫的常見病因包括心肌缺血(有或無心肌梗死)、慢性收縮性或舒張性心力衰竭病情惡化、二尖瓣或主動脈瓣功能不全,還要考慮容量負荷增加的問題。病人有典型的夜間陣發性呼吸困難或端坐呼吸病史,提示為心源性肺水腫。然而,無癥狀的心肌梗死或隱性心舒張功能障礙也可能表現為急性肺水腫,但病史提供的線索不多。
相比之下,非心源性肺水腫與其他疾病相關,包括肺炎、膿毒癥、誤吸胃內容物、需多次輸血液制品的嚴重創傷。病史中主要應了解感染的癥狀和體征、伴嘔吐的意識水平降低、外傷,詳細了解用藥和攝食情況。遺憾的是,病史并不總能可靠地區分心源性與非心源性肺水腫。例如,急性心肌梗死(提示為心源性肺水腫)病人可伴發暈厥,或心臟停搏伴誤吸胃內容物和非心源性肺水腫。相反,在嚴重創傷或感染(提示為非心源性肺水腫)的病人中,補液可導致容量負荷增加和肺血管流體靜力壓增高引起的肺水腫。
心源性肺水腫病人在接受心臟檢查時往往有異常發現。S3奔馬律是左室舒張末壓升高和左室功能不全病人相對特異的表現,如聽診發現病人有S,奔馬律提示為心源性肺水腫。S3奔馬律的特異性很高(90%-97%),但敏感性低 (9%-51%)。敏感性范圍大可能反映體檢時很難識別出S,奔馬律。對于危重病人,由于機械通氣產生的胸腔內聲音的干擾,通過聽診確定是否有S3奔馬律難度更大。
關于心源性肺水腫其他檢查所見的敏感性和特異性的資料尚不足。當病人有瓣膜狹窄或反流產生的雜音,應高度懷疑為心源性肺水腫。頸靜脈擴張、肝臟增大有觸痛和外周水腫提示中心靜脈壓(CVP)升高。但是,通過體檢評估危重病人的CVP可能有困難。同樣,外周水腫也不是左心衰所特有,也可見于肝或腎功能不全、右心衰或全身性感染。肺部檢查幫助不大,因為任何原因導致的肺泡腔積液都表現為吸氣時有捻發音,常常還有干羅音。腹部、盆腔和直腸檢查很重要。腹腔危象 (例如內臟穿孔)可導致急性肺損傷伴非心源性肺水腫,而機械通氣的病人可能不能提供腹部癥狀的病史。對于非心源性肺水腫病人,即使沒有膿毒癥,其肢端也往往是溫暖的,而心源性肺水腫和心輸出量低病人的肢端通常是涼的。
實驗室檢查
心電圖檢查結果可能提示心肌缺血或心肌梗死。肌鈣蛋白水平升高可能提示肌細胞損傷,但肌鈣蛋白水平升高也可見于沒有急性冠脈綜合征證據的嚴重膿毒癥病人。對于反應遲鈍、有原因不明肺水腫的病人,電解質、血清滲量檢測以及毒理學篩查有可能診斷出未曾想到的食人物。血清淀粉酶和脂肪酶升高提示急性胰腺炎。
血漿腦型鈉尿肽(BNP)水平常用于對肺水腫的評估。BNP主要由心室分泌,心室壁受牽張或心內壓升高刺激BNP分泌。在充血性心力衰竭病人中,血漿 BNP水平與左室舒張末壓18-21和肺動脈閉塞壓相關。根據同行評議專家組的意見, BNP<100pg/ml提示不大可能有心衰(陰性預測值>90%),而BNP>500pg/ml提示可能有心衰(陽性預測值>90%)。但 BNP水平在100pg/ml-500pg/ml范圍時,對鑒別診斷價值不大。
判讀危重病人的BNP水平需謹慎,因為這類病人中BNP的預測價值還未確定。有些報告指出,即使沒有心衰,危重的BNP在100 pg/ml-500pg/ml范圍很常見。在1項研究報告中,8例左室功能正常的膿毒癥病人均為BNP>500pe/ml。因此,如果危重病人的 BNP<i00pS/ml,則BNP測量值最有用。腎衰病人的BNP也可升高,與是否有心衰無關。有人建議,當腎小球濾過率(CFR)估計值<60ml/min時,BNP<200pS/ml即可排除心衰。右心室也可分泌BNP,已有人報告急性肺栓塞、肺源性心臟病和肺動脈高壓病人的 BNP中度升高。
胸部X片
心源性和非心源性肺水腫發病機制不同,因此二者的后前位或便攜式前后位胸部X線片有某些可資鑒別的細微區別28-30(圖2)。1項研究對45例肺水腫患者進行了分析,其病因根據臨床和肺水腫液標本確定。在這項研究中,研究者采用基于胸部X線片特征(表1)的綜合評分,正確識別了87%的心源性肺水腫病人和60%的非心源性肺水腫病人。測量血管影的寬度有可能提高胸部X線片診斷的準確度,但其在心源性和非心源性肺水腫鑒別診斷中的實用價值還有待研究。
胸部X線片診斷的準確性有限,對此有多種解釋。只有當肺含水量增至 30%時才能在X線片上看出肺水腫。任何可透過X線的物質(例如肺泡出血、膿和支氣管肺泡癌)充滿氣腔,都可產生與肺水腫相似的X線影像。技術問題也能降低胸部X線片的敏感性和特異性,包括旋轉、吸氣、正壓通氣、病人的姿勢和膠片穿透不足或過度。醫師對胸部X線片的判讀也存在顯著的個體差異。

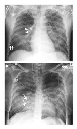
(圖2心源性和非心源性肺水腫患者的典型胸部X線片
A 幅是1例急性前壁心肌梗死和急性心源性肺水腫病人 (男性,51歲)的前后位胸部X線片。注意支氣管血管周間隙擴大(箭頭),間隔線(Kerley’s B線)明顯(箭),腺泡區的不透X線性增加,并融合成明顯的實變。外周相對不受累是心源性肺水腫的常見特征。B幅是1例肺炎并發膿毒癥性休克和急性呼吸窘迫綜合征病人(女性,22歲)的前后位X線胸片,血培養肺炎鏈球菌陽性。有伴支氣管含氣像(箭)的斑片狀浸潤和雙肺的彌漫性肺泡浸潤,這是非心源性肺水腫和急性肺損傷的特征,但并非其特異表現。雖然病變也累及左上葉,但受累相對較輕。無血管充血或肺血流重新分配證據。)

超聲心動圖
床旁經胸超聲心動圖檢查可評估心肌和瓣膜的功能,有助于確定肺水腫的病因。1項研究納入49例患不明原因肺水腫或低血壓的危重病人,研究者采用二維經胸超聲心動圖和肺動脈插管生成的數據評估左室功能,結果發現86%病人的兩項檢查結果一致。這些資料與危重病人的其他資料相結合38,提示對于通過病史、體檢、實驗室檢查和胸部X線片不能確定肺水腫病因的病人,應首選經胸超聲心動圖來評估左室和瓣膜功能。在某些危重病人中,經胸超聲心動圖可能不能提供足夠的信息,而經食管超聲心動圖檢查可能有幫助。有人報告危重病人經食管超聲心動圖檢查的不良事件發生率為1%-5%,例如口咽出血、與鎮靜藥有關的低血壓、心律失常和飼管脫出。
雖然超聲心動圖檢查對于確定左室收縮功能障礙和瓣膜功能障礙有效,但確定左室舒張功能障礙的敏感性較差。因此,常規超聲心動圖檢查結果正常不能除外心源性肺水腫。較新的超聲心動圖檢查技術(例如二尖瓣環組織多普勒顯像)有可能用于確定左室舒張末壓和評估舒張功能障礙。
肺動脈插管
通過肺動脈插管評估肺動脈閉塞壓被認為是確定急性肺水腫病因的金標準。通過肺動脈插管也可監測治療過程中的心充盈壓、心輸出量和全身血管阻力。
肺動脈閉塞壓>18 mmHg提示心源性肺水腫或容量負荷增加造成的肺水腫。在最近發表的2項肺動脈插管處理心衰或危重病人的大樣本隨機臨床試驗中,不良反應發生率為 4.5%-9.5%。常見并發癥有插管部位血腫、動脈刺傷、出血、心律失常和血液感染,但無死亡。中心靜脈壓測量不能取代肺動脈插管,因為現有資料提示二者的相關性往往很差。中心靜脈壓升高而左房壓并不增高,可能反映急性或慢性肺動脈高壓和右室負荷增加。
循序漸進的診斷步驟
我們的肺水腫鑒別診斷流程圖(圖 3)尚未獲得大家的認可,它是根據我們的臨床經驗以及對鑒別肺水腫病因有價值的各種臨床和實驗室檢查結果資料制訂的。由于無創診斷方法不可避免會將一些病人錯誤分類,所以必須不斷反復地對病人進行評估。雖然鑒別診斷流程圖是循序漸進式的,但對危重病人的監護是一個不斷變化的動態過程,往往需要同時進行診斷和治療。因此,某些治療 (例如在沒有禁忌證情況下,給懷疑心源性肺水腫的病人使用利尿藥)可以在檢查(例如超聲心動圖)前憑經驗開始進行。此外,大約10%的急性肺水腫病人存在多種原因的水腫。例如1例膿毒癥休克和急性肺損傷病人可能有因過度積極補液導致的容量超負荷或心肌功能不全,而1例充血性心力衰竭急性惡化的病人可能合并肺炎及其相關性急性肺損傷。對于病因不明或可能存在多種病因的肺水腫病人,可能必需插入肺動脈導管。對肺動脈插管及醫師的臨床評估進行了比較,結果發現在確定急性肺水腫病因方面插管優于臨床評估’。但該研究是在臨床常規使用BNP和超聲心動圖檢查之前進行的,這二項檢查都可增加無創檢查方法確定肺水腫病因的敏感性和特異性。

(心源性和非心源性肺水腫的臨床鑒別診斷流程圖)
對急性肺水腫病人(例如本文小病歷描述的那例病人)的評估,應從仔細的病史和體檢開始,要特別注意急性或慢性心臟病的癥狀和體征以及原發性肺臟疾病(例如肺炎)或非肺源性感染(例如腹膜炎)的證據。病人應接受心電圖 (ECG)檢查以除外心肌缺血改變,雖然只有心肌缺血改變并不足以證明肺水腫是心源性的。有必要測定血漿BNP, BNP<100pg/ml時幫助最大,因為此時不大可能有充血性心力衰竭。應仔細觀察胸部X線片,注意有別于非心源性水腫、提示心源性肺水腫的特征 (例如心影擴大和呈中心型分布的水腫)。如果仍不能確定診斷,經胸超聲心動圖檢查能夠評估左室收縮功能和二尖瓣及主動脈瓣的功能。
使用診斷流程圖中循序漸進的方式,大多數急性肺水腫病人可以通過無創方法確診。一面進行鑒別診斷,一面可進行治療。例如如果懷疑病人有感染,在進行適當的培養后應開始抗生素治療。同樣,如果病人需要機械通氣,而肺水腫的病因還不清楚,則建議采用低潮氣量通氣以保護肺臟。有些病人,特別是并發休克的肺水腫病人,需插入肺動脈導管以確定肺水腫病因和進行有針對性的適當治療。


湘公網安備 43012102000043號